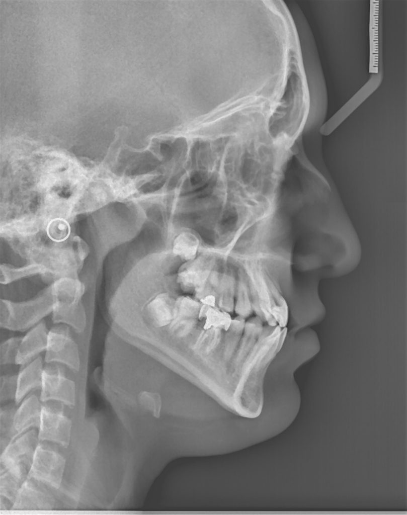
در تشخیص و طرح درمان ناهنجاریهای دندانی – اسکلتی , متخصص ارتودنسی نیاز به روابط فکی و دندانی با استفاده از رادیوگرافی های مناسب دارد.این رادیوگرافیها بطور روتین شامل یک پانورامیک (برای بررسی دندان های از دست رفته, اضافه ,نهفته, جابجا شده و ریشه ها) و یک لترال سفالومتری(برای بررسی روابط فکی و دندانی) می شوند.
آنالیزسفالومتری که بصورت نرم افزاری انجام می شود, در تسریع تشخیص این ناهنجاریها به متخصص ارتودنسی کمک می کند . این رادیوگرافی ها معمولا یکبار قبل از شروع درمان به جهت تشخیص و تعیین پلن درمان و یکبار در طول درمان ویکبار در پایان درمان بمنظور بررسی مسیر درمان و تاثیرات آن تهیه می گردد.
