مرکز تخصصی رادیولوژی دهان فک و صورت البرز
مرکز تخصصی رادیولوژی دهان فک و صورت البرز ارائه دهنده کلیه خدمات رادیوگرافی دیجیتال دندان فک و صورت با بهره گیری از کامل ترین دستگاه های رادیوگرافی دیجیتال می باشد.
ساعات کاری
شنبه تا چهارشنبه از 9:30 الی 20
پنجشنبه ها از 9:30 الی 18
تلفن های تماس
آدرس ما
کرج – فلکه اول گوهردشت – بلوار مطهری – ابتدای خیابان سوم شرقی- ساختمان اکسین – ط ۱ واحد 2
خدمات رادیوگرافی فک و صورت قابل ارائه در
مرکز تخصصی رادیولوژی دهان و فک و صورت البرز
خدمات رادیوگرافی قابل ارائه در
مرکز تخصصی رادیولوژی دهان فک و صورت البرز
مرکز تخصصی رادیولوژی دهان و فک و صورت البرز از سال ۱۳۹۳ با بهره بردن از جدیدترین تجهیزات تصویربرداری در منطقه گوهردشت کرج شروع به خدمت رسانی به شهروندان محترم نموده است.
این مرکز کلیه خدمات رادیوگرافی فک و صورت درکرج تحت نظارت متخصص رادیولوژی فک و صورت در جهت کمک به تشخیص بیماریهای دندان و فک ارائه می گردد.
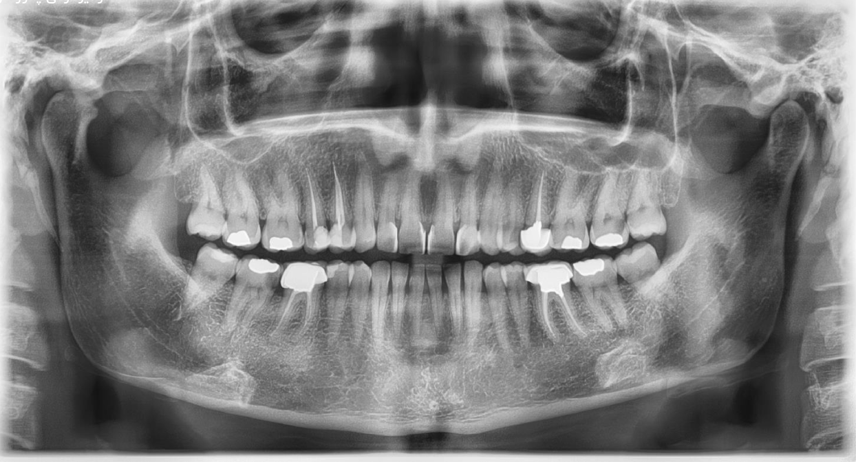
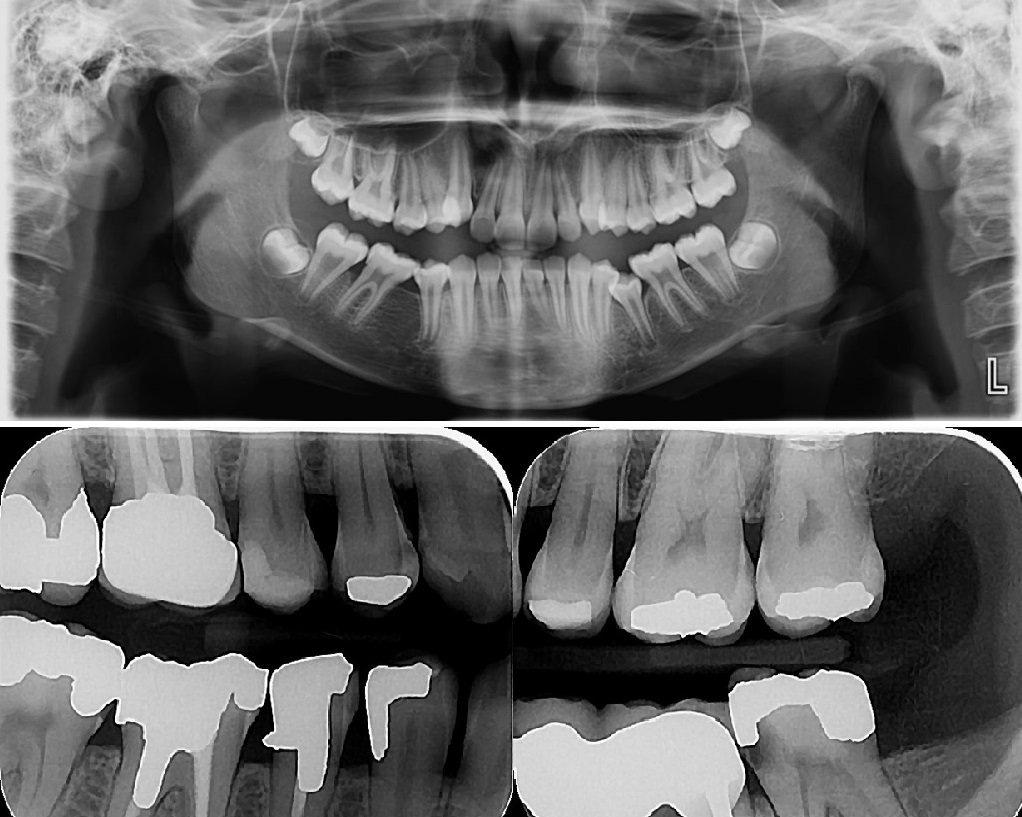
- رادیوگرافی پانورامیک
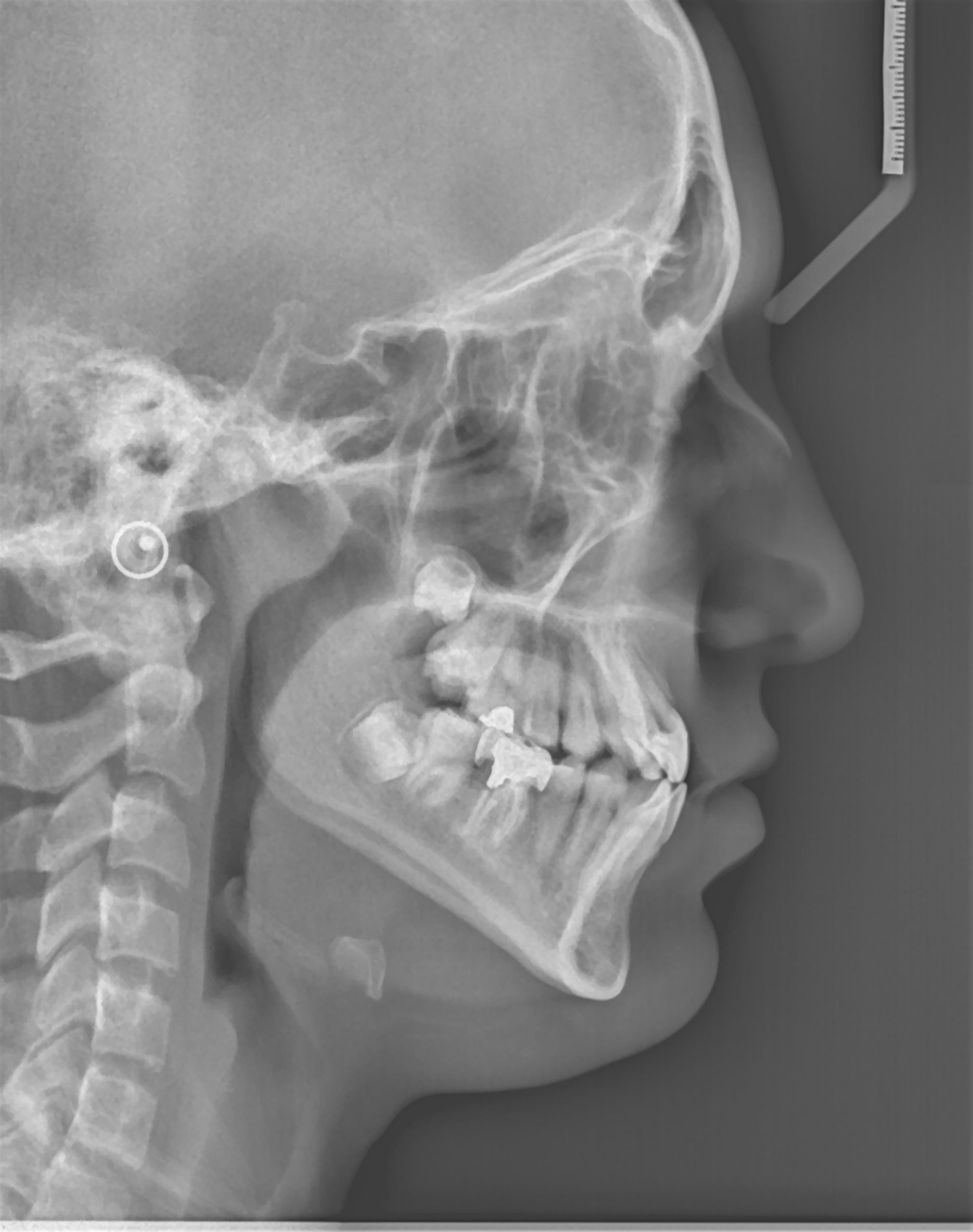
- رادیوگرافی لترال سفالومتری وسایر رادیوگرافیهای جمجمه
- رادیوگرافیهای داخل دهانی (پری اپیکال ،اکلوزال ،بایت وینگ)
- رادیوگرافی مفصل گیجگاهی فکی
- سی تی اسکن دندان و فک و صورت
می باشند.
بیمه های طرف قرارداد




















