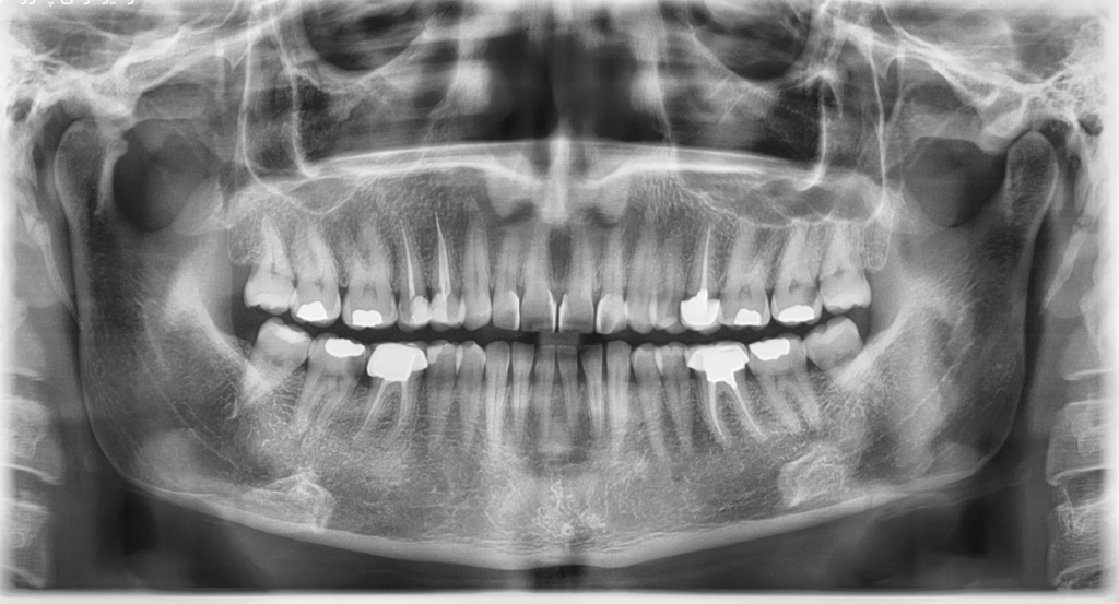
عکس OPG یک اسکن دو بعدی از قسمت تحتانی صورت است که نمای وسیع یا پانورامیکی از تمام دندانهای فک بالا و پایین بر روی یک فیلم ارائه میکند، از جمله دندانهایی که هنوز روییده یا رویش نیافتهاند، مانند دندان عقل نمای کاملی از استخوان فک و مفصل گیجگاهی فکی که فک را به بقیه قسمت های جمجمه متصل می کند، ارائه می دهد.
در این عکس از پرتوهای سطح پایین برای ایجاد تصاویری از استخوان ها و دندان ها استفاده می شود.
اگر به دنبال عکس OPG در گوهردشت کرج هستید، امروز برای وقت ملاقات و اطلاعات بیشتر با رادیولوژی البرز تماس بگیرید. ما رادیولوژیستهای مجرب، کادر فنی ماهر، تجهیزات پیشرفته و مدرن برای ارائه عکس OPG رادیوگرافی یابت وینگ، وعکس سی بی سی تی را ارائه می دهیم.
آماده سازی پیش از گرفتن عکس OPG
برای انجام تصویربرداری فک و صورت ضروری است تا کلیه وسایل ذیل را به جهت بهبود کیفیت تصویربرداری از خود جدا نمائید:
- جواهرات و کلیه اشیا فلزی زینتی در ناحیه سر و گردن شامل گردنبند، نگین ها و پیرسینگ ها
- پروتز های متحرک دندانی
- سمعک و وسایل کمک شنیداری را از خود جدا نمائید.
با مشاهده فیلم آموزشی ذیل می توانید راهنمای کاملی در باره پیش نیاز های رادیوگرافی دندان بدست بیاورید.
روش گرفتن عکس OPG
برای گرفتن عکس OPG ، بیمار قرار باید چانه خود را روی قفسه ای در مقابل دستگاه اشعه ایکس OPG قرار دهد، در حالی که به آرامی یک قسمت استریل را گاز می گیرد.
این کار تضمین می کند که سر و دهان بیمار در هنگام عکسبرداری ثابت بماند.
دستگاه اشعه ایکس OPG از یک بازوی چرخان تشکیل شده است که منبع اشعه ایکس در یک انتها به آن متصل است و مکانیسم فیلم در طرف مقابل، که تصاویر را می گیرد. بازو دور سر بیمار میچرخد و نمایی پانوراما از فک و دهان میگیرد.
این روش سریع است و هیچ گونه درد یا ناراحتی ندارد. بیمار می تواند به راحتی بعد از عکسبرداری OPG به برنامه روزانه خود ادامه دهد.

هدف از عکس OPG
عکس OPG یا رادیوگرافی پانورامیک توسط دندانپزشکان برای موارد زیر استفاده می شود:
- تشخیص پوسیدگی های دندانی
- مشاهده تمام دندان های بیمار و تعیین موقعیت، تعداد و رشد آنها – از جمله دندان هایی که هنوز روییده نشده اند.
- برنامه ریزی درمان ارتودنسی
- ارزیابی رشد یا تشخیص وجود دندان عقل که ممکن است نهفته باشد.
- معاینه استخوان فک.
- داشتن نمای کلی از سلامت دندان بیمار.
نتایج عکس OPG
عکس OPG آسان، راحت و سریع است و می تواند به تشخیص بیماری های دهان در مراحل اولیه کمک کند. تشخیص زودهنگام امکان درمان به موقع و در نتیجه بهبود موفقیت آمیز و سریع اختلالات دندانی را فراهم می کند.
به عنوان مثال، نتایج عکس OPG میتواند در تشخیص پوسیدگی خاموش دندانی، از دست رفتن استخوان بین دندانها، وضعیت ریشه دندان، وجود کیست ، تومور و یا هر گونه ضایعات بدون علامت فکی موثر باشد.
عوارض جانبی عکس OPG
دور اشعه لازم برای عکس OPG دندان در مقایسه با دوز لازم سایر عکس های اشعه ایکس، دوز بسیار کمی بوده و از این رو، بی خطر در نظر گرفته می شوند و معمولا برای حفظ سلامت دهان ضروری هستند.
